
Ignorieren Sie die ersten Anzeichen nicht – Ihr Zahnfleisch sendet Ihnen eine Warnung!
Haben Sie Rötungen, Blutungen beim Zähneputzen oder unangenehmen Mundgeruch bemerkt? Vielleicht haben Sie ein leichtes Unbehagen oder ein Spannungsgefühl im Zahnfleisch verspürt? Diese Symptome können das erste Anzeichen von Gingivitis sein – der häufigsten Form der Zahnfleischentzündung. Obwohl sie auf den ersten Blick harmlos erscheint, kann Gingivitis der Beginn ernsthafter Probleme sein, wenn nicht rechtzeitig reagiert wird.
Was ist Gingivitis?
Gingivitis ist ein entzündlicher Prozess, der das Zahnfleisch betrifft und am häufigsten durch die Ansammlung von Zahnbelag auf den Zähnen entsteht. Plaque ist ein farbloser und klebriger Bakterienfilm, der sich täglich auf den Zähnen und am Zahnfleisch bildet. Wird er nicht durch regelmäßiges Zähneputzen und Zahnseide entfernt, verwandelt er sich in Zahnstein, der das Zahnfleisch zusätzlich reizt und Entzündungen verursacht.
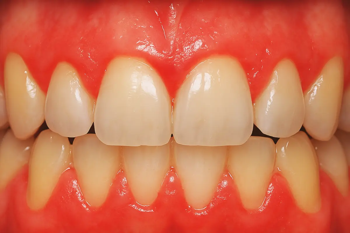
Im gesunden Zustand sind das Zahnfleisch hellrosa, fest und schmerzfrei. Bei einer Zahnfleischentzündung wird das Zahnfleisch geschwollen, rot und neigt zu Blutungen. Dieser Zustand beinhaltet keinen Verlust von Knochen oder Bindegewebe – was bedeutet, dass er in diesem Stadium vollständig behandelt werden kann.
Gingivitis-Symptome – worauf sollte man achten?
Die Symptome von Gingivitis sind unterschiedlich, aber die häufigsten sind:
- Rötung und Schwellung des Zahnfleisches
- Bluten beim Zähneputzen oder bei der Verwendung von Zahnseide
- Mundgeruch (Halitosis)
- Zurückziehen des Zahnfleisches, wodurch die Zähne länger erscheinen
- Empfindlichkeit oder Schmerzen bei Berührung
Bei empfindlicheren Patienten können Brennen, Kribbeln oder Unbehagen beim Kauen auftreten. Gingivitis bei Kindern tritt häufig während des Durchbruchs der bleibenden Zähne auf und kann auf eine unzureichende Mundhygiene hinweisen.
Was verursacht Gingivitis?
Die Hauptursache ist Zahnbelag, aber es gibt auch viele Faktoren, die zur Entwicklung der Krankheit beitragen:
- Schlechte Mundhygiene
- Zigarrenrauchen
- Hormonelle Veränderungen (Schwangerschaft, Pubertät, Wechseljahre)
- Chronische Erkrankungen wie Diabetes
- Vitaminmangel, insbesondere Vitamin C
- Bestimmte Medikamente
- Stress, der das Immunsystem beeinflusst
Die Kombination dieser Faktoren erhöht das Risiko, an Gingivitis zu erkranken, und später an Parodontitis – einer fortschreitenden Erkrankung des Zahnhalteapparates.

Gingivitis Behandlung – wie stellt man die Gesundheit des Zahnfleisches wieder her?
Die gute Nachricht ist, dass Gingivitis schnell und effektiv behandelt werden kann – besonders, wenn sie frühzeitig erkannt wird. Wichtige Schritte umfassen:
- Professionelle Zahnreinigung – Entfernung von weichen und harten Zahnbelägen
- Richtige Mundhygiene zu Hause – mindestens zweimal täglich die Zähne putzen, Zahnseide verwenden, Mundspülung
- Beratung mit dem Zahnarzt über Gewohnheiten und Ernährung
- Bei Bedarf – lokale Behandlung mit Antiseptika oder antibiotischen Pasten
Bei fortgeschrittenen Stadien der Erkrankung werden komplexere therapeutische Maßnahmen durchgeführt.
Vorbeugung von Gingivitis – Kleine Schritte zu einem gesunden Lächeln
Das beste Mittel ist Vorbeugung. Das können Sie täglich tun:
- Verwenden Sie eine Zahnbürste mit weichen Borsten und wechseln Sie sie alle 2–3 Monate
- Überspringen Sie nicht die Zahnseide
- Beschränken Sie den Konsum von Zucker und kohlensäurehaltigen Getränken
- Besuchen Sie Ihren Zahnarzt mindestens zweimal im Jahr
Die Pflege der Gesundheit Ihres Zahnfleisches kann Sie später vor großen Komplikationen bewahren.
Zahnarzt-Tipp: Gingivitis ist ein Alarmzeichen – ignorieren Sie es nicht!
Gingivitis ist eine stille, aber sehr häufige Zahnfleischentzündung, die sich zu einem ernsten Problem entwickeln kann, wenn sie vernachlässigt wird. Mit rechtzeitigem Handeln und regelmäßiger Pflege können Sie Komplikationen vermeiden und ein gesundes Lächeln erhalten.
Vereinbaren Sie noch heute Ihren Termin und machen Sie den ersten Schritt zu gesundem Zahnfleisch und gesunden Zähnen. Ihr Lächeln hat es verdient!
