
Parodontitis ist eine der häufigsten Zahnfleischerkrankungen, die, wenn sie nicht rechtzeitig behandelt wird, zu ernsthaften Folgen wie Zahnfleischrückgang, lockeren Zähnen und sogar Zahnverlust führen kann. Obwohl die zahnärztliche Behandlung entscheidend ist, suchen immer mehr Menschen nach natürlichen Heilmitteln gegen Parodontitis und stützen sich dabei auf die Erfahrungen anderer Patienten.
Was ist eigentlich Parodontose?
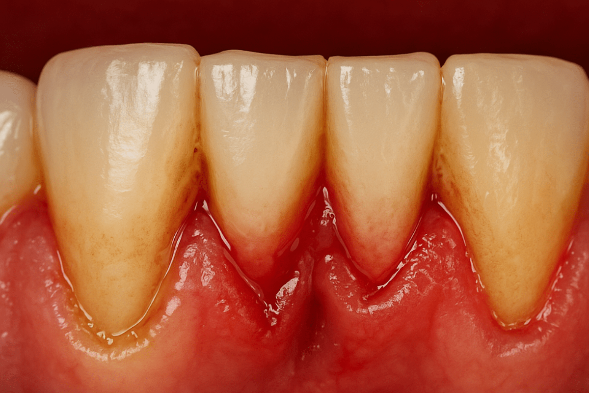
Parodontitis, auch bekannt als Parodontalerkrankung, ist eine chronische Erkrankung, die das Stützgewebe der Zähne betrifft. Sie beginnt mit milden Symptomen wie Zahnfleischbluten beim Zähneputzen, Empfindlichkeit und Mundgeruch. Mit der Zeit zieht sich das Zahnfleisch zurück, wodurch die Zahnwurzeln freigelegt und empfindlich werden.
Wenn die Krankheit vernachlässigt wird, kann sie zum Verlust von Knochensubstanz und schließlich der Zähne führen. Daher ist eine rechtzeitige Behandlung der Parodontitis von entscheidender Bedeutung. Es ist auch wichtig zu verstehen, dass diese Krankheit nicht nur ältere Menschen betrifft – sie kann auch bei jüngeren Personen auftreten, insbesondere wenn eine genetische Veranlagung oder eine schlechte Mundhygiene vorliegt.
Wie sieht die Behandlung von Parodontitis aus?
Parodontitis und seine Behandlung in der Zahnarztpraxis umfassen eine professionelle Zahnreinigung und die Entfernung von Belägen unter dem Zahnfleisch, bekannt als Kürettage. In einigen Fällen sind auch eine Antibiotikatherapie oder sogar chirurgische Eingriffe erforderlich.

Zusätzlich zur professionellen Behandlung wird den Patienten empfohlen, zu Hause strikte Mundhygiene einzuhalten: Verwendung einer weichen Zahnbürste, Interdentalbürsten, Zahnseide und antiseptischer Mundspüllösungen. Regelmäßige Kontrollen alle drei bis sechs Monate sind ebenfalls entscheidend, um den Zustand des Zahnfleisches zu überwachen und die Fortschreitung der Erkrankung zu verhindern.
Natürliche Heilmittel gegen Parodontitis
Es gibt zahlreiche Hausmittel gegen Parodontose, die als zusätzliche Pflege zu Hause verwendet werden können.
- Nigella sativa (Schwarzkümmel) Öl – bekannt für seine entzündungshemmenden Eigenschaften, wird zum Mundspülen oder zur Massage des Zahnfleisches verwendet.
- Kamille und Salbei – Tee aus diesen Kräutern kann zum Mundspülen verwendet werden, da er antibakteriell wirkt und Entzündungen beruhigt.
- Kokosöl – die „Oil Pulling“-Methode (Öl im Mund hin- und herbewegen) kann helfen, Bakterien in der Mundhöhle zu reduzieren.
- Aloe-Vera-Gel – direkt auf das Zahnfleisch aufgetragen, um Entzündungen und Reizungen zu reduzieren.
Einige Patienten verwenden auch natürliche fluorfreie Zahnpasten, die ätherische Öle wie Teebaum oder Pfefferminze enthalten, die für ihre antibakteriellen Eigenschaften bekannt sind.
Es ist wichtig zu beachten, dass natürliche Mittel eine professionelle zahnärztliche Behandlung nicht ersetzen können, aber eine hervorragende Ergänzung zur täglichen Mundhygiene darstellen.
Patientenerfahrungen
Wenn es um Erfahrungen mit Parodontitis geht, betonen die meisten Patienten, wie wichtig eine frühe Diagnose ist. Viele bemerkten die ersten Symptome, wie Zahnfleischbluten und Empfindlichkeit, ignorierten sie jedoch. Erst nach dem Auftreten ernsthafterer Probleme suchten sie Hilfe, was die Behandlung erheblich erschwerte.

Diejenigen, die rechtzeitig reagierten und professionelle Behandlung mit natürlichen Mitteln kombinierten, berichten oft von deutlich besseren Ergebnissen: weniger Entzündungen, stärkere Zahnfleisch und bessere Krankheitskontrolle. Viele betonen auch, dass Ernährungsumstellungen – mehr Vitamine C und D und das Weglassen von raffiniertem Zucker – dazu beigetragen haben, die Widerstandskraft des Zahnfleisches zu stärken.
Fazit: Warten Sie nicht, bis es zu spät ist
Wenn Sie Symptome wie Zahnfleischbluten, Empfindlichkeit oder zurückgehendes Zahnfleisch bemerken, zögern Sie nicht, den Zahnarzt aufzusuchen. Parodontitis ist eine fortschreitende Erkrankung, kann jedoch mit professioneller Behandlung und guter Mundpflege erfolgreich kontrolliert werden.
Probieren Sie einige natürliche Mittel gegen Parodontitis aus, aber immer in Absprache mit Ihrem Zahnarzt. Ihr Zahnfleisch wird es Ihnen danken!
Möchten Sie mehr über die Behandlung von Parodontitis erfahren? Vereinbaren Sie eine kostenlose Untersuchung in unserer Praxis und erfahren Sie die beste Lösung für Ihr Problem!
